Fracture Fixation Surgeries in Indore
Comprehensive Fracture Fixation Surgeries in Indore
We offer comprehensive Fracture Fixation Surgeries in Indore for simple as well as complex fractures. Each case is carefully evaluated to decide the most suitable surgical technique, keeping in mind the type of fracture, patient age, lifestyle, and overall health.
Our goal is not just bone healing, but also restoring strength, stability, and long-term function while minimizing complications and recovery time. understand what is happening inside your body.
What Are Fracture Fixation Surgeries?
Fracture fixation surgeries are orthopedic procedures used to hold broken bones in the correct position until healing occurs. In many cases, fractures cannot heal properly with casting alone and require surgical stabilization.
During Orthopedic Fracture Surgery in Indore, specialized implants are used to maintain alignment, reduce pain, and allow early movement. This controlled healing process helps prevent deformity, stiffness, and long-term disability.
Types of Fracture Fixation Surgeries
Different fractures require different fixation methods. The choice depends on fracture location, severity, and stability.
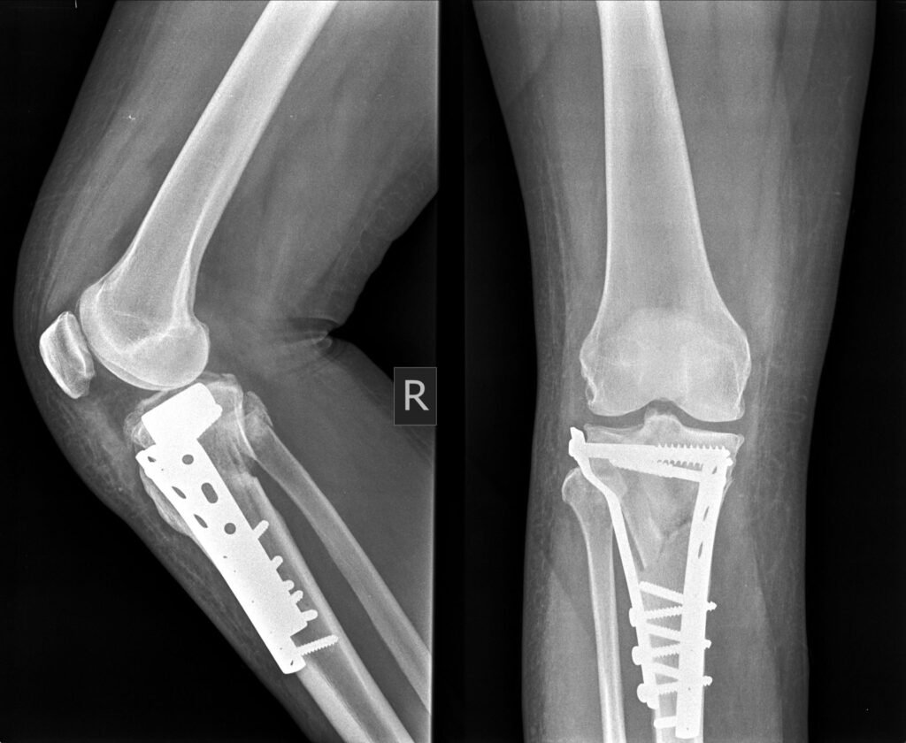
Internal Fixation Surgery (Plates, Screws & Rods)
Internal Fixation Surgery in Indore involves placing metal plates, screws, or rods inside the body to hold the fractured bone securely. These implants are designed to support healing while allowing gradual movement.
This method is commonly used for long bones, joint fractures, and complex injuries where precise alignment is essential
External Fixation Surgery
External fixation uses metal pins inserted into the bone and connected to an external frame. This technique is often chosen for open fractures, severe trauma, or cases with soft tissue damage.
It provides stability while allowing access for wound care and infection control.
Minimally Invasive Fracture Fixation
Minimally invasive fracture fixation uses small incisions and advanced imaging guidance. This approach reduces tissue damage, lowers infection risk, and speeds up recovery while maintaining excellent surgical outcomes
Conditions That Require Fracture Fixation Surgery
Fracture fixation is recommended when bones cannot heal properly on their own. Common conditions include:
● Displaced or unstable fractures
● Multiple bone fractures
● Joint surface fractures
● Open or compound fractures
● Fractures with nerve or vessel involvement
In such cases, Fracture Surgery in Indore ensures safe healing and prevents long-term complications.
Advanced Surgical Techniques for Fracture Fixation in Indore
Modern Fracture Fixation Surgeries in Indore use advanced surgical techniques and high-quality implants. Digital imaging, precise planning, and minimally invasive methods help achieve accurate bone alignment and faster recovery.
These advanced techniques reduce pain, minimize hospital stay, and allow early rehabilitation, which is crucial for restoring normal movement.
Benefits of Fracture Fixation Surgery
Fracture fixation offers several important advantages for proper recovery:
- Accurate bone alignment and stability
- Faster and safer bone healing
- Reduced risk of deformity
- Early mobilization and rehabilitation
- Long-term restoration of strength and function
These benefits make Fracture Fixation Surgeries in Indore a reliable option for complex fractures.
Fracture Fixation Surgery by Body Part
Arm & Hand Fracture Fixation
Fractures of the arm, wrist, or hand require careful alignment to preserve movement and grip strength. Surgical fixation ensures proper healing and prevents stiffness or deformity.
Leg & Foot Fracture Fixation
Leg and foot fractures directly affect walking and balance. Orthopedic Fracture Surgery in Indore for these areas focuses on restoring stability, weight-bearing ability, and joint function.
Spine Fracture Fixation
Spinal fractures need precise stabilization to protect the spinal cord and nerves. Surgical fixation helps maintain spinal alignment and prevent neurological complications.
Shoulder, Hip & Pelvic Fracture Fixation
Fractures around major joints like the shoulder and hip often need surgical correction for pain relief and mobility restoration, especially in elderly patients.
Recovery, Healing & Rehabilitation After Surgery
Recovery after Fracture Surgery in Indore depends on the fracture type, patient health, and rehabilitation compliance. Most patients begin gentle movement soon after surgery under medical guidance.
Physiotherapy plays a vital role in restoring muscle strength, joint mobility, and coordination. With proper care and follow-up, patients can achieve excellent functional recovery and return to daily activities safely.
Cost of Fracture Fixation Surgery in Indore
The cost of Internal Fixation Surgery in Indore or other fracture procedures varies depending on fracture complexity, implants used, hospital stay, and rehabilitation needs. A detailed evaluation helps provide a clear and transparent estimate, ensuring patients understand the treatment plan and associated costs without surprises.
Frequently Asked Questions
Fracture fixation is required when bones are displaced, unstable, or unlikely to heal with casting alone. Orthopedic Fracture Surgery in Indore ensures proper alignment and safe healing.
Pain is managed effectively with modern anesthesia and medications. After Fracture Surgery in Indore, discomfort gradually reduces as healing progresses.
Recovery time depends on fracture type and location. Most patients resume daily activities within weeks, with full recovery achieved through rehabilitation.
In many cases, implants remain permanently unless they cause discomfort or complications. This is discussed during Internal Fixation Surgery in Indore planning.
Weight-bearing depends on fracture severity and healing progress. Your surgeon will guide safe movement after Fracture Fixation Surgeries in Indore.